KAKO RAZLIKOVATI OBIČAN GRIP OD KORONAVIRUSA? Evo tabele sa SVIM SIMPTOMIMA
Svako kijanje ili kašljanje sada izaziva podozrenje, jer se svi plaše korona virusa. Ali, nije baš tako, Pogledajte tabelu i kako da razlikujete simptome.
19.03.2020
14:36
Vesti
Ono što je danas poznato kao covid-19, označavao se krajem 2019. kao skup slučajeva upale pluća nepoznatog uzroka, navodi "Gardijan". Kasnije se ispostavilo da je u pitanju teški akutni respiratorni sindrom, koji izaziva Sars-CoV-2 virus, odnosno pomenuti covid-19.
Svetska zdravstvena organizacije je 11. marta proglasila pandemiju koronavirusa. SZO je saopštila da se 80 odsto zaraženih oporavi bez potrebe za posebnim lečenjem, a jedna od šest osoba sa koronavirusom ima ozbiljne probleme sa disanjem.
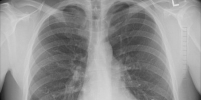
Kako se covid-19 razvija u tešku upalu pluća, kakve posledica ostavlja na plućima i na ostale delove organizma?
Australijska redakcija "Gardijana" je u razgovoru sa profesorom Džonom Vilsonom, izabranim predsednikom "Kraljevskog australijskog koledža lekara i pulmologa", dobio odgovore na ova pitanja.
Pulmolog je rekao da su skoro sve ozbiljne posledice covida-19 karakteristične upale pluća, a da se zaraženi mogu podeliti u četiri široke kategorije:
* Osobe koje imaju virus, ali nemaju simptome i koji su izloženi najmanjem riziku.
* Pacijenti kod kojih se javlja infekcija gornjih disajnih puteva koju prati povišena temperatura, kašalj, i možda i blaži simptomi, poput glavobolje i konuktivitisa.
"Ljudi sa blažim simptomima i dalje mogu da prenesu virus, ali toga nisu svesni", rekao je doktor.
* Treća grupa je najbrojnija, u njoj su ljudi kojih najviše ima na bolničkom lečenju, kod koji su se javili simptomi slični simptomima gripa i koji zbog zdravstvenog stanja nisu mogli da rade.
* Osobe u teškom zdravstvenom stanju, kod kojih se javlja upala pluća.
"U Vuhanu se pokazalo da je šest odsto onih koji su bili pozitivni na testiranju i koji su zatražili lekarsku pomoć, bilo ozbiljno bolesno", dodao je stručnjak.
"Gardijan" podseća da su starije osobe kao i ljudi sa hroničnim oboljenjima, poput hipertenzije, srčanih i plućnih bolesti ili dijajbetesa izloženi većem riziku od teške zdravstvene slike.
Foto: Pixabay
Kako se razvija upala pluća?
Kada oboleli od covida-19 imaju povišenu temperaturu ili ih muči kašalj, dr Vilson kaže da je to posledica infekcije koja dopire do respiratornog stabla - vazdušnih puteva koji dovode vazduh do pluća.
Kada se naruši obloga respiratornog stabla, dolazi do upale, iritacije nerava u sluznici disajnih puteva (Iritiaciju može da izazove i najmanja čestica prašine).
Ukoliko se stanje pogorša, infekcija dopire do obloga disajnog puta i do jedinica za razmenu inspiratornog gasa. Ako se i one upale, izlučuju upalne materije u vazdušne vrećice koje se nalaze na dnu pluća.
U slučaju da dođe do upale tih vrećica, štetan materijal - tečnosti i upalne ćelije, dolaze do pluća i javlja se pneumonija.
Dr Vilson napominje da pluća koja su puna upalnim materijalnom ne mogu da oslobode dovoljno kiseonika u krvotok, smanjuju sposobnost organizma da preruzme potrebne količine kiseonika i oslobodi ugljen-dioksid.
"To je uobičajeni uzrok smrti teške pneumonije", rekao je doktor.
Foto: Pixabay
Kako se leči upala pluća?
Profesorka Kristin Dženkins, predsednik australijske Fondacije za plućne bolesti i vodeći pulmolog u ovoj zemlji, rekla je da zasada nema leka koji bi zaustavio upalu pluća koju izaziva kovid-19.
"Isprobavaju se sve vrste lekova i nadam se da će se otkriti kombinacija virusnih i antivirusnih lekova koja će biti efiksna. Trenutno ne postoji određen tretman lečenja, osim onoga koji se primenjuje na pacijentima na intezivnoj nezi", dodala je.
Najteži slučajevi stavljaju se na respiratore dok njihova pluća ne počnu da funkcionišu.
Dr Vilson je napomenuo da pneumonija može da izazove sekundarne infekcije koje se leče antivirusnim lekovima i antibioticima. Nažalost, kako je istakao, kod pojedinih pacijenatasa korona virusom ni ovo ne daje rezultate pa dolazi do smrtnog ishoda.
Foto: Pixabay
Da li se pneumonija koja prati Covid- 19 razlikuje od uobičajene upale pluća? Stručnjaci daju potvrdan odgovor na ovo pitanje. Uobičajena upala pluća je bakterijska i leči se antibioticima. I zahvata samo delove ovog organa, dok pneumonija koju izaziva Covid- 19 obuhvata cela pluća.
Kada dođe do infekcije vazdušnih vrećica, objasnio je dalje dr Vilson, prva reakcija organizma ili "prvi mehanizam odbrane" jeste zaustavljanje virusa.
Taj mehanizam je kod osoba sa hroničnim bolestima i starijih ljudi oslabljen. Dr Dženkins je dodala da su osobe starije od 65 godine izložene većem riziku i od "obične" upale pluća jer sa godinama imunitet slabi.
Najstariji pacijenti sa pneumonijom su pod najvećim rizikom od smrtnog ishoda, nekada je ova bolest ("obična" pneumonija) bila glavni uzrok smrtnosti starije populacije, izjavila je dr Dženinks, ali i napomenula da sada ima veoma efikasnih lekova.
Sve o koronavirusu pročitajte OVDE.
Komentare objavljujemo prema vremenu njihovog pristizanja. Prednost u objavljivanju komentara imaće registrovani korisnici. Molimo Vas da ne pišete komentare velikim slovima, kao i da vodite računa o pravopisu.
Redakcija Informer.rs zadržava pravo izbora, brisanja komentara, ili modifikacije komentara koji će biti objavljeni. Prema Zakonu o informisanju zabranjeno je objavljivanje svih sadržaja koji podstiču diskriminaciju, mržnju ili nasilje protiv lica ili grupe lica zbog njihovog pripadanja ili nepripadanja određenoj rasi, veri, naciji, etničkoj grupi, polu ili zbog njihovog seksualnog opredeljenja.
Nećemo objavljivati komentare koji sadrže govor mržnje, psovke i uvrede. Sadržaj objavljenih komentara ne predstavlja stavove redakcije Informera ili portala Informer.rs, već isključivo stavove autora komentara.
Sugestije ili primedbe možete da šaljete na redakcija@informer.rs.
Poznati biznismen Branko Babić je novim komentarom na društvenoj mreži Iks urnisao blokadere i "zapalio" internet.
02.03.2026
21:46
Jedan od najpoznatijih blokaderskih novinara Žarko Bogosavljević izneo je bombastično priznanje koje je malo ko očekivao.
02.03.2026
20:43
Osnovni sud u Loznici odredio je do 30 dana pritvor Zlatku Kokanoviću iz Udruženja "Ne damo Jadar", osumnjičenom za napad na policiju tokom blokade graničnog prelaza "Trbušnica".
02.03.2026
17:49
Predsednik Srpske radikalne stranke (SRS) prof. dr Vojislav Šešelj oglasio se povodom jezivih dešavanja u Iranu, izrazivši, pritom, i saučešće rukovodstvu i narodu te zemlje povodom, kako je rekao, monstruoznog, a kukavičkog ubistva ajatolaha Ali Hamneija, članova njegove najuže porodice i visokih iranskih zvaničnika.
02.03.2026
17:52
Predsednik Srbije Aleksandar Vučić razgovarao je telefonom sa predsednikom Vlade Mađarske Viktorom Orbanom o aktuelnim dešavanjima u svetu, njihovim posledicama po naš region i daljem jačanju partnerstva između Srbije i Mađarske.
02.03.2026
19:51
Učesnicima Exatlona na žurci povodom završetka prve sezone dodeljene su plakete u znak zahvalnosti za učešće u najvećem sportskom rijalitiju.
02.03.2026
22:08
Pobednik Exatlona Marko Nikolić na proslavi koja je organizovana za sve takmičare pokazao je zašto je baš on izabran kao najbolji.
02.03.2026
20:06
Pevačica Kaja Ostojić svojim prisustvom i glasom upotpunila je žurku za kraj Exatlona, a zapevala je specijalno za glavnog urednika Informera Dragana J. Vučićevića i Jovana Radulovića Jodžira.
02.03.2026
19:09
Sinoć je održana spektakularna žurka povodom završetka prve sezone najvećeg sportskog rijalitija na svetu, Exatlona Srbija, a mi vam prenosimo sjajnu atmosferu iz prve ruke.
02.03.2026
17:16
Do sada nismo videli Nevenu Petrović u ovako provokativnom izdanju. Ona je obukla suknju od trske, a na grudi stavila kokos podeljen na dva dela.
02.03.2026
11:00
Najnovija epizoda Informerove emisije "Na merama" otkriće vam u čemu uživa glumac Mima Karadžić, šta "merka" muzičar Dženan Lončarević, kako izgleda "modni pohod" glumice Vesne Trivalić, na koji način se biznismen Toplica Spasojević odmara od posla, za čime traga fotograf i režiser Dejan Milićević, kuda žuri perjanica Đilasove stranke Branko Miljuš, zašto je poličar u pokušaju Srđan Milivojević teški licemer...
28.02.2026
10:55
Od 3. marta u 22 časa na Informer TV stiže nova emisija "Dobro veče, Srbadijo", autorski projekat koji podseća na to ko smo, odakle smo i šta ne smemo da zaboravimo.
27.02.2026
16:52
Prošle sedmice u Informerovoj popularnoj emisiji "Na merama" otkrili smo vam sa kim sedi okoreli blokader Jovo Bakić, šta kupuje voditeljka Marija Veljković, kakve su reakcije prolaznika na fudbalera Marka Arnautovića, kako glumica blokaderka Svetlana Bojković glumata u privatnom životu, na koji način se opušta advokat Toma Fila...
27.02.2026
10:16
Profesor doktor Vladan Petrov, predsednik Ustavnog suda gostujući u Prvim info komentarisao je situaciju u državi i način na koji mediji plasiraju informacije.
27.02.2026
09:56
Prema nezvaničnim saznanjima, policija u Kragujevcu identifikovala je i uhapsila B. V., osumnjičenog da je 1. marta 2026. godine počinio ubistvo muškarca Novaka K. (35) u naselju Erdeč, Kragujevac.
02.03.2026
21:53
Policija u Kragujevcu rasvetlila je teško ubistvo Novaka K. i uhapsils je B.V. (43) zbog postojanja osnova sumnje da je izvršio ovo krivično delo, kao i M.V. (23) zbog postojanja osnova sumnje da je izvršio krivično delo podstrekavanje na izvršenje krivičnog dela teško ubistvo.
02.03.2026
21:36
U Novom Sadu se dogodila teška saobraćajna nesreća u kojom je teško povređen biciklista.
02.03.2026
21:41
Policija u Kragujevcu brzom i efikasnom akcijom identifikovala je i uhapsila osumnjičenog da je 1. marta 2026. godine ubio Novaka K. u naselju Erdeč.
02.03.2026
20:38
Darko Šarić, koji je optužen da je sa Veljkom Belivukom organizovao kriminalnu grupu, koja se tereti za ubistva vođa "škaljarskog klana", odlukom sudskog veća kažnjen je u Specijalnom sudu sa 150.000 dinara zbog "odbijanja da isključi mikrofon i nepoštovanja suda".
02.03.2026
20:58
Ukrajinski predsednik Volodimir Zelenski izjavio je da je Ukrajina spremna da pošalje svoje najbolje stručnjake za presretanje iranskih dronova tipa Šahid u zemlje Bliskog istoka, ali samo ako lideri tih država uspeju da ubede Rusiju da uvede primirje u ratu protiv Ukrajine.
02.03.2026
22:10
U Sjedinjenim Američkim Državama formiran je politički i bezbednosni konsenzus da je Kina ključni geopolitički protivnik, dok je sa Rusijom moguće postići dogovor, a aktuelna dešavanja u Iranu deo su dugoročne strategije SAD usmerene ka konfrontaciji sa Pekingom, izjavio je geostrateg Andrej Školjnikov.
02.03.2026
21:10
Ujedinjeni Arapski Emirati i Katar diskretno lobiraju kod svojih saveznika kako bi zajednički ubedili američkog predsednika Donalda Trampa da pronađe brzi izlaz iz sukoba sa Iranom.
02.03.2026
20:40
Hiljade Iranaca izašlo je na ulice Teherana i drugih velikih gradova u znak žalosti i podrške režimu nakon potvrđene smrti vrhovnog vođe ajatolaha Alija Hameneija.
02.03.2026
20:10
U emisiji "Specijal o Katarini Velikoj" koja će uskoro biti emitovana na Informer TV, književnik Ranko Gojković i voditeljka Olivera Miletović razgovarali su o carici Jelisaveti Petrovnoj.
02.03.2026
21:39
RTS je objavio spisak filmov akoje će emitovati u periodu od 7. do 13. marta na svojim kanalima.
02.03.2026
15:31
Šesta sezona Teatra "Zmaj" otvorena je proteklog vikenda u prisustvu velikog broja malih i velikih ljubitelja pozorišta koji su uživali u izvođenju višestruko nagrađivane dečje predstave "Lepotica i zver", kao i čarima popularnog baleta za decu "Labudovo jezero".
02.03.2026
14:39
Brazilska manekenka i fitnes influenserka Derleja Alves (26) preminula je usled teških komplikacija nastalih nakon estetske operacije grudi.
02.03.2026
14:28
Serija "Porodično blago" trebalo je da nosi naziv "Bolja prošlost", a umesto planiranih 100, dobila je samo 62 epizode.
02.03.2026
13:48
Na 32. dodeli nagrada SAG, Demi Mur je zasijala u spektakularnoj crnoj haljini iz kutur kolekcije modne kuće Skjapareli za 2026. godinu.
02.03.2026
21:40
Domaći rezanci su savršen dodatak supi, ali često se dogodi da se raspadnu ili postanu gnjecavi.
02.03.2026
18:20
Kejt Midlton i princ Vilijam obratili su se javnosti u posebnoj video-poruci povodom Dana svetog Davida, nacionalnog praznika Velsa, izgovarajući nekoliko rečenica na velškom jeziku.
02.03.2026
17:40
Dobar izbor doručka može pozitivno uticati na zdravlje i smanjiti rizik od raka, kažu onkolozi.
02.03.2026
14:15
Vaskršnji post znači velike promene u ishrani, ako ste se zapitali čime da zamenite kravlje mleko u jutarnjoj kafi, kaši ili omiljenim poslasticama, domaće bademovo mleko je idealno rešenje.
02.03.2026
22:20
Glumica Dragana Mićalović objavila je fotografiju sa pevačem Zdravkom Čolićem koja je privukla veliku pažnju.
02.03.2026
22:02
Pevačica Katarina Grujić boravak u južnoj srpskoj pokrajini iskoristila je i za obilazak svetinja u Prizrenu, Gračanici...
02.03.2026
21:01
Bivšem rijaliti učesniku, Alenu Hadroviću, zabranjen je ulazak u Crnu Goru, a on se tim povodom oglasio i otkrio detalje.
02.03.2026
20:34
Danijel Jovanović sin pevačice Suzane Jovanović iz prvog braka otkrio je kako se Saša Popović odnosio prema članovima porodice u poslednjim nedeljama života.
02.03.2026
20:02
Influenserka Luna Đogani brine za ćerke dok ona i suprug Marko Miljković na sve načine pokušavaju da nađu mesto na letu kojim bi napustili Maldive.
02.03.2026
19:26
Imate mišljenje?
Ukoliko želite da ostavite komentar, kliknite na dugme.
Ostavite komentar