(VIDEO) 17 GODINA JE IMAO GLAVOBOLJU I DRHTAVICU, DOKTORI NISU ZNALI ŠTA MU SE DEŠAVA! Kada je prestao da OSEĆA GORNJI DEO TELA, U MOZGU MU JE PRONAĐENO NEŠTO UŽASNO!
Ignorisao je simptome i nikada nije otišao u bolnicu
30.08.2020
11:08
Estrada
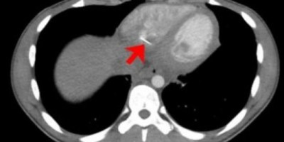
Tinejdžer je progutao iglu za šivenje dok je ušivao svoju odeću, a nekim čudom nije ni primetio. Nekoliko dana kasnije doktori su je pronašli na neobičnom mestu – njegovom srcu.
Sedamnaestogodišnjak se javio u urgentni centar nakon što je osetio bolove u grudima. Lekarski izveštaj objavljen 29. jula u The Journal of Emergency Medicine navodi da je pacijent osećao oštar bol, koji se širio kroz leđa i pojačavao se tokom ležanja ili kada bi duboko udahnuo.
Rezultat elektrokardiograma bio je abnormalan i doktori su pomislili da je reč o perimiokarditisu – upali srčanog mišića i okolne membrane. Laboratorijski testovi pokazali su da pacijent u krvi ima povišene nivoe proteina koji ukazuju na povredu srca.
Skeniranjem srca primećen je linearno metalno strane telo u srcu. Predmet je bio oko 3,5 centimetra dugačak i virio je iz donjeg dela desne komore srca, koja pumpa krv u pluća.
Tinejdžer je isprva rekao doktorima da nije progutao nikakva strana tela, ali je kasnije otkrio da je zašivao nešto na odeći, a da je obično držao igle ustima. Ipak, i dalje je tvrdio da uopšte nije bio svestan da je progutao jednu.
Doktori su uspeli da mu tokom operacije odstrane predmet i zaista se radilo o šivaćoj igli, koja je, kako veruju, kroz gastrointestinalni trakt stigla do srca, rekao je za portal Lajv sajens Boni Metjus, koji je asistent profesora na odeljenju za pedijatriju u Medicinskom centru u Vorčesteru u Masačusetsu.
Strana tela su i ranije pronalažena u srcu, ali veoma retko. U Kini su doktori 2016. godine imali slučaj 48-godišnje žene koja je doživela infarkt nakon što je igla probila grudi i zastala u srcu.
Komentare objavljujemo prema vremenu njihovog pristizanja. Prednost u objavljivanju komentara imaće registrovani korisnici. Molimo Vas da ne pišete komentare velikim slovima, kao i da vodite računa o pravopisu.
Redakcija Informer.rs zadržava pravo izbora, brisanja komentara, ili modifikacije komentara koji će biti objavljeni. Prema Zakonu o informisanju zabranjeno je objavljivanje svih sadržaja koji podstiču diskriminaciju, mržnju ili nasilje protiv lica ili grupe lica zbog njihovog pripadanja ili nepripadanja određenoj rasi, veri, naciji, etničkoj grupi, polu ili zbog njihovog seksualnog opredeljenja.
Nećemo objavljivati komentare koji sadrže govor mržnje, psovke i uvrede. Sadržaj objavljenih komentara ne predstavlja stavove redakcije Informera ili portala Informer.rs, već isključivo stavove autora komentara.
Sugestije ili primedbe možete da šaljete na redakcija@informer.rs.
Voditeljka antisrpske "N1" Danica Vučenić, u programu uživo, praktično je priznala ono što opozicija mesecima pokušava da sakrije, da predsednik Srbije Aleksandar Vučić, politički dominira i da scenariji iz 2000. godine danas nemaju nikakvo uporište u realnosti.
16.01.2026
08:15
Reditelj Goran Marković izjavio je da se "s našim narodom nikad ne zna kako će nekoga da svrgne s vlasti", što je ocenjeno kao direktna pretnja po bezbednost predsednika Srbije
16.01.2026
08:00
Potpredsednica Vlade i ministarka privrede Adrijana Mesarović oštro je reagovala na izjavu pšoslanice SSP Jelene Spirić da su uzrok prekida u snadbevanju elekrtičnom energijom Elektromreže Srbije ističići da tako samo obmanjuje javnost i širi paniku.
15.01.2026
23:30
Blokaderi su odavno izgubili kompas i svakodnevno se međusobno napadaju, a sada je potpredsednica Demokratske stranke Dragana Rakić udarila po opozicionim partnerima kako bi se dodvorila blokaderima.
15.01.2026
23:05
Svetski lideri iz vlada, poslovnog sektora, civilnog društva i akademske zajednice okupiće se u Davosu kako bi učestvovali u diskusijama usmerenim ka budućnosti, sa ciljem rešavanja globalnih izazova i utvrđivanja prioriteta. Poziv na hrabru, zajedničku akciju čini ovaj skup posebno značajnim - među svetskim liderima je i Aleksandar Vučić, predsednik Srbije.
15.01.2026
22:31
Neizvesna borba na Exatlon poligonu dovela je do šokantne situacije kada je Nevena Petrović uhvatila za nogu Milicu Balać u nameri da je što više uspori.
15.01.2026
22:02
Takmičare Crvenog tima Exatlona Jovana Radulovića Jodžira i Boška Marinkovića uhvatila je nostalgija i tuga za decom, koju nisu videli od početka rijalitija.
15.01.2026
21:12
Učesnici Exatlona Srbija Dušica Topić i Marko Nikolić, članovi Plavog tima, našli su se u centru pažnje nakon žestoke rasprave koja je izbila na poligonima, i to zbog Markovog ponašanja.
15.01.2026
23:50
Učesnice Exatlona Anabela Zonai i Milica Ohman otvoreno su kritikovale cimere iz Plavog tima, iako same pripadaju istoj ekipi.
15.01.2026
23:16
Večeras je u žestokoj borbi Crvenih i Plavih u Exatlonu došlo do neverovatnih preokreta, svađa, znoja i suza, a krajnju pobedu odneo je Crveni tim i to na posebnom poligonu "Štafeta".
15.01.2026
22:47
Danas je za Informer TV u emisiji Rat uživo – Odjeci govorio ekskluzivno ambasador Kube Pavel Orensi Dijaz Ernandes.
11.01.2026
19:15
Večeras, u 18.40, uživo na Informer TV, emisija Rat uživo – Odjeci donosi ekskluzivni razgovor sa ambasadorom Kube Pavelom Orensiom Dijazom Enandesom.
11.01.2026
14:52 >> 15:00
Ne propustite novi epizodu emisije "Na merama"!
10.01.2026
10:48
Televizija Informer večeras emituje specijalni program posvećen najnovijim dešavanjima u Loznici, sa fokusom na strašnu i do sada neviđenu zloupotrebu elementarne nepogode u političke svrhe.
09.01.2026
18:36
U Srbiji će danas biti promenljivo oblačno sa sunčanim intervalima i najvišom temperaturom do 10 stepeni. Ujutru nas očekuje mraz, a tokom dana biće suvo i relativno toplo.
16.01.2026
06:45
Zvanični srednji kurs dinara za evro danas iznosi 117,3492 dinara.
16.01.2026
07:00
Peter Sijarto, šef mađarske diplomatije, istakao je da postoji realna šansa da MOL za jedan do tri dana postigne ključni dogovor sa kompanijom "Gaspromnjeft" o kupovini većinskog udela u NIS-u.
15.01.2026
21:40
Ekipe JKP "Beogradski vodovod i kanalizacija" najavili su isključenje vode u Beogradu.
15.01.2026
22:10
Ministar kulture u Vladi Republike Srbije Nikola Selaković istakao je da problem našeg kulturnog nasleđa nisu svetinje, već već službe koje su trebale da ih štite.
15.01.2026
21:28
Pripadnici Vatrogasno-spasilačke jedinice uključeni su večeras u potragu za osobom koja je, prema prijavi policije, peške ušla u železnički tunel ispod Pančevačkog mosta.
15.01.2026
22:47
Željko Ražnatović Arkan (48) ubijen je pre 26 godina, 15. januara 2000. godine. Arkan je ubijen sa tri hica u glavu u beogradskom hotelu "Interkontinental". Žarko Popović, bivši načelnik Odeljenja za krvne delikte, otkrio je u razgovoru za Blic TV manje poznate detalje likvidacije Arkana.
15.01.2026
21:54
Dejana Ć. (22) žrtva je brutalnog nasilja koje se dogodilo 25. oktobra prošle godine u jednom ugostiteljskom objektu u Beranama u kom je radila. Suđenje u toku, a Dejana se sa svojom sestrom oglasila za emisiju Crna hronika i ispričala je sa čime se suočava nakon što je gost kafića pretukao.
15.01.2026
21:45
Željko Ražnatović Arkan (48) ubijen je pre 26 godina, 15. januara 2000. godine, u beogradskom hotelu "Interkontinental", kada je pogođen sa tri hica u glavu. Tog dana, zajedno sa njim, ubijeni su i pukovnik Dragan Garić, bivši radnik Saveznog SUP-a, kao i major Milenko Mandić, pripadnik Srpske dobrovoljačke garde.
15.01.2026
21:06
Suđenje Goranu Džoniću (60), pravosnažno osuđenom na doživotnu robiju, po tužbi Stojanke Đokić iz Moravca koja je pokrenula parnični postupak za naknadu štete zbog ubistva njenog sina Gorana (57), snaje Gordane (56) i unuke Lidije Đokić (26) iz Aleksinca, odloženo je danas u Višem sudu u Nišu četvrti put zaredom. I ovoga puta razlog odlaganja bio je - veštak.
16.01.2026
07:30
15.01.2026
23:22 >> 23:29
15.01.2026
19:50 >> 22:49
U noćnom napadu ukrajinskih bespilotnih letelica na Rjazanjsku oblast povređene su dve osobe, potvrdio je guverner Pavel Malkov. Povređenima je ukazana ambulantna pomoć i, prema zvaničnim informacijama, nisu životno ugroženi.
16.01.2026
07:40
Nemačka je pooštrila politiku prema ukrajinskim izbeglicama, ukidajući osnovnu socijalnu naknadu „burgergeld“ za one koji su u zemlju stigli posle 1. aprila 2025. godine.
16.01.2026
07:30
Evropska komisija saopštila je da pokreće primenu novog mehanizma za korekciju cene ruske nafte, kojim se prvi put uvodi automatski i dinamički sistem za određivanje gornje granice cene.
16.01.2026
06:40
Rusija nema nikakve teritorijalne pretenzije prema Grenlandu i ne planira agresivne poteze u Arktiku, izjavio je ambasador Rusije u Danskoj Vladimir Barbin.
16.01.2026
06:15
Žarko Laušević je u svojoj knjizi "Padre, idiote" detaljno opisao jedan svoj susret sa Željkom Ražnatovićem Arkanom.
15.01.2026
16:01
Glumac Miodrag Radovanović je još u detinjstvu dobio nadimak "Mrgud" nakon jedne nesuglasice sa školskim drugom.
15.01.2026
15:10
Američki glumac Kifer Saterlend uhapšen je nakon sukoba sa vozačem službe taksi prevoza preko aplikacije, saopštila je Policijska uprava Los Anđelesa (LAPD).
15.01.2026
14:02
Španska vlada razmatra mogućnost da oduzme medalju za likovnu umetnost koju je pevač Hulio Iglesijas (83) dobio 2010. godine, nakon što su ga bivše zaposlene u njegovom timu optužile za seksualno uznemiravanje.
15.01.2026
13:48
Skup sećanja na nedavno preminulog muzičara Ljubu Ninkovića (1950-2026) održan je danas u Radio Beogradu u prisustvu članova porodice, prijatelja, saradnika i brojnih poštovalaca.
15.01.2026
13:38
Ajfon 4, star čak 15 godina, ponovo je u centru pažnje zahvaljujući retro fotografijama i talasu nostalgije. Njegova prepoznatljiva kamera, dizajn i pristupačna cena privlače mlađe generacije.
16.01.2026
08:00
Ako je istraživanje koje je objavio The Sun tačno, onda ste zaista srećnica ako vaš muškarac ima smeđe oči i bradu.
15.01.2026
23:20
Brz obrok koji je istovremeno ukusan i zasitan su njoke u bogatom krem sosu od pečuraka.
15.01.2026
22:20
Manekenka Bela Hadid privukla je sve poglede na premijeri nove serije "The Beauty", koja je održana u prestižnom Muzeju moderne umetnosti u Njujorku.
15.01.2026
21:40
Filipini i druge zemlje istražuju ili blokiraju AI četa Grok zbog rizika od seksualizovanog sadržaja i zaštite dece. X je uveo nove mere i ograničenja kako bi sprečio generisanje neprimerenih slika i uskladio se sa zakonima.
15.01.2026
21:00
Imate mišljenje?
Ukoliko želite da ostavite komentar, kliknite na dugme.
Ostavite komentar