U 50. postala majka trojki, iako su joj davali samo 5 odsto šanse - ne treba gubiti nadu
Podeli vest
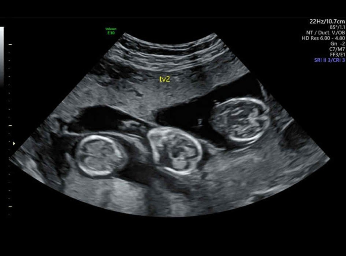
Šveđanka Mari Gustavson (50) je uprkos prognozama lekara osam meseci nakon vantelesne oplodnje na svet donela trojke, sina Čarlija i ćerke Lorin i Laru.
Mari i njen suprug već su imali četvoricu sinova, Sebastijana (31), Džespera (19), Lea (8) i Luija (3), kada su odlučili da pokušaju još jednom.
Poljski lanac hotela Arče Grup pokrenuo je neobičnu kampanju kojom parovima koji začnu bebu tokom boravka nudi nagrade i pogodnosti, u pokušaju da na duhovit način podstakne rast nataliteta u zemlji.
Kineski naučnici rade na razvoju nečega što zvuči kao naučna fantastika, robota s veštačkom matericom, sposobnog da nosi dete i donese ga na svet.
21.08.2025
17:40
S obzirom na godine, nisu očekivali brz uspeh, pa su tokom procedure preneta tri embriona kako bi povećali šanse. Iako su ih lekari upozoravali na rizike i savetovali redukciju, Mari je odlučila da veruje svom osećaju. Na kraju su se primila sva tri embriona.
Pedijatar dr Saša Milićević, za Informer otkriva da bebama treba menjati pelene odmah čim osetite da je obavila nuždu, jer je opasnost od infekcija velika.
Brojevi na etiketama dečije odeće poput 62, 74 ili 98 su vam potpuno zbunjujući, jer niste znali da te oznake zapravo označavaju visinu deteta u centimetrima, a ne uzrast po godinama, pa evo jednostavnog vodiča da više nikad ne lutate među policama!
01.06.2025
18:00
Lečenje su obavili na Kipru i platili oko pet hiljada i petsto evra, a pozitivan test dobili su svega tri dana nakon transfera. Trudnoća je bila izazovna,kako kaže, stomak joj je bio toliko zategnut da gotovo nije osećala pokrete beba.
Trojke su rođene hitnim carskim rezom, što je bila jedina razlika u odnosu na prethodne porođaje koje je imala prirodnim putem. Dečak je imao 1,5 kilogram, jedna devojčica 1,3, a druga samo kilogram.
Foto: profimedia
Vest o trojkama krili su od porodice i prijatelja sve do rođenja, jer nisu bili sigurni kako će se trudnoća završiti. Reakcije su kasnije bile podeljene, od oduševljenja do zabrinutosti. I sama
Mari priznaje da je u početku imala strahove kako će se snaći sa sedmoro dece, ali uz pomoć dadilje i organizaciju, porodica danas funkcioniše.
Foto: profimedia
Zanimljivo je da tvrdi da joj je majčinstvo u 50. godini lakše nego kada je bila tinejdžerka. Sada ima više iskustva, strpljenja i sigurnosti u sebe. Kaže da vodi računa o zdravlju i da se, zahvaljujući deci, oseća mlađe nego ikada.
Njena poruka je jednostavna: godine nisu prepreka, a ni loše prognoze ne moraju biti konačne. Jer čak i iz pet odsto šanse može da se rodi, trostruko čudo.
Komentare objavljujemo prema vremenu njihovog pristizanja. Prednost u objavljivanju komentara imaće
registrovani korisnici. Molimo Vas da ne pišete komentare velikim slovima, kao i da vodite računa o pravopisu.
Redakcija Informer.rs zadržava pravo izbora, brisanja komentara, ili modifikacije komentara koji će biti objavljeni.
Prema Zakonu o informisanju zabranjeno je objavljivanje svih sadržaja koji podstiču diskriminaciju, mržnju ili
nasilje protiv lica ili grupe lica zbog njihovog pripadanja ili nepripadanja određenoj rasi, veri, naciji,
etničkoj grupi, polu ili zbog njihovog seksualnog opredeljenja.
Nećemo objavljivati komentare koji sadrže govor mržnje, psovke i uvrede. Sadržaj objavljenih komentara ne
predstavlja stavove redakcije Informera ili portala Informer.rs, već isključivo stavove autora komentara.
Sugestije ili primedbe možete da šaljete na redakcija@informer.rs.
Poljski lanac hotela Arče Grup pokrenuo je neobičnu kampanju kojom parovima koji začnu bebu tokom boravka nudi nagrade i pogodnosti, u pokušaju da na duhovit način podstakne rast nataliteta u zemlji.
Kosta K., koji je u OŠ "Vladislav Ribnikar" izvršio masovno ubistvo, oduzevši život devetoro dece i radnika obezbeđenja, završio je davanje iskaza u Specijalnom sudu u Beogradu.
Dragan J. Vučičević je obišao porodicu Jelenković, koja, kako kaže, nema vremena za blokade - jer vredno rade, budući da imaju jednu od najvećih modernih farmi u tom kraju.
Predsednik Aleksandar Vučić izjavio je sinoć da je Nemačka zemlja koja se ubedljivo najbrže naoružava u svetu i dodao da je, kada je reč o naoružavanju Srbije, bolje da Nemci gledaju svoje dvorište umesto što nam drže moralne pridike.
Predsednik Srbije Aleksandar Vučić gostovao je u Dnevniku na RTS i govorio o cenama energenata, savezu Zagreb-Priština-Tirana, kao i o drugim bitnim temama.
Dok se javnost još seća šokantnog incidenta koji je 2019. godine uzdrmao ceo kraj, ime porodice Milutina Miloševića „Kašikare” ponovo je u centru pažnje i to zbog ambicija njegovog sina Novaka Miloševića koji se nalazi na blokaderskoj izbornoj listi "Nu dau" u Majdanpeku!
Posebno teška emisija, kako za urednika i voditelja Igora Ćurčića, tako i za njegove goste – godišnjica zločinačkog NATO Bombardovanja SRJ, Srbije pre svega.
Urednik i voditelj emisije Dobro veče Srbadijo ugostiće predsednika skupštinskog odbora za odbranu i unutrašnje poslove Milovana Drecuna, zatim novinara Sašu Borojevića, advokata Srđana Aleksića poznatog po inicijativi da građani i institucije Srbije tuže NATO, kao i njegovog italijanskog kolegu advokata Anđela Fiore Tartalju koji je u više navrata pobedio NATO na sudu, zastupajući italijanske vojnike koji su boraveći na Kosovu i Metohiji oboleli od kancera.
Srbija je danas imala samo jedan izbor i napravila ga je jasno: Informer televizija je apsolutno najgledanija u trenutku prenosa velikog narodnog skupa SNS-a!
Zabog radova na rredovnom održavanju u ulicama Dr Žorža Matea i Auto-put za Zagreb, od 26. marta do 9. aprila doći će do izmena u saobraćaju javnog prevoza.
Iz Ministarstva odbrane saopštili su da je u toku realizacija borbene obuke na helikopterima Mil Mi-35, u 714. protivoklopnoj helikopterskoj eskadrili "Senke" Vojske Srbije, stacioniranoj na aerodromu "Morava" u Lađevcima kod Kraljeva.
Državni sekretar u Ministarstvu za brigu o porodici i demografiju Radoš Pejović boravio je danas u Knjaževcu i Boru, gde je razgovarao sa predstavnicima lokalnih samouprava i građanima, a potom obišao više porodica, sa ciljem da se sagledaju njihove potrebe i unaprede mere podrške u oblasti porodice i dece.
Jako naoblačenje sa kišom i snegom, već je zahvatilo Hrvatsku, a trenutno se kreće ka Srbiji. Očekuje se da u našu zemlju stigne sutra i donese kišu i sneg.
Pre skoro 24 godine, Dragan Čedić u Leskovcu ubio je sedmoro ljudi i ranio četvoro, ostavljajući decu bez roditelja, dok tragedija otkriva duboke porodične sukobe i propuste sistema koji nisu sprečili masakr.
Na današnjem suđenju Veljku Belivuku, Marku Miljkoviću, Filipu Ivanovskom, njihovim suprugama, ali i Belivukovoj tašti, nastavljeno je danas u Specijalnom sudu u Beogradu saslušanjem svedoka, iznošenjem primedbi na iskaz svedoka Srđana Lalića, ali i Belivukovom dopunom odbrane.
Policija traga za nepoznatom osobom osumnjičenom da je u utorak uveče, uz pretnju vatrenim oružjem, pokušala da izvršiti pljačku u trgovini u mostarskom naselju Zalik, pri čemu je došlo i do pucnjave iz automatske puške.
Američka vojska prolazi kroz jednu od najdubljih transformacija u svojoj savremenoj istoriji, napuštajući doktrinu koja je decenijama bila temelj njene dominacije.
Američki strateški bombarder B-52 primećen je sa prototipovima nove krstareće rakete AGM-181A tokom leta iznad pustinje Mohave u Kaliforniji, objavio je avijacijski fotograf Džarod Hamilton, a prenosi portal Vor zon.
Izrael će uspostaviti kontrolu nad „bezbednosnom zonom“ u južnom Libanu sve do reke Litani i zadržaće prisustvo dok se ne ukloni pretnja Hezbolaha, izjavio je ministar odbrane Izraela Izrael Kac.
Emitovanje serije "Katarina Velika" na Informer TV izazvalo je veliku pažnju javnosti, a jedna od najintrigantnijih tema koja prožima epizode jeste caričin otvoren sukob sa Ruskom pravoslavnom crkvom.
Imate mišljenje?
Ukoliko želite da ostavite komentar, kliknite na dugme.
Ostavite komentar