Doktor objavio 3 slike pluća maloletnika i PODIGAO BURU
Podeli vest
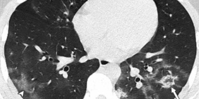
Korona uništava pluća i mladim i zdravim ljudima, a još jedan dokaz za to stiže nam iz Grčke.
Grčki epidemiolog i član tamošnjeg Kriznog štaba dr Gikas Majorkinis objavio je na svom Fejsbuk profilu snimke pluća maloletnih pacijenata koji su oboleli od kovida-19, ističući da jedna slika govori više od 1.000 reči.
Ruski neurofiziolog Sergej Nurislamov najavio je pogoršanje simptoma infekcije kovidom-19. On predviđa da će Rusi koji ne prime vakcinu u sledećem talasu koronavirusa teže obolevati i brže umirati
26.06.2021
08:09
- Ovo su snimci pluća ljudi koji su imali kovid, a koji su mlađi od 18 godina (15, 14 i 8 godina). Nijedan od njih nije imao bilo kakve druge bolesti niti imunosupresiju. Nije im bio potreban kiseonik, intubacija niti intenzivna nega. Ovo su jednostavne i česte posledice korone - napisao je on i dodao.
- Ova pluća imaju veoma impresivno oštećenje i nije poznato šta ona mogu vremenom da uzrokuju.
Doktor je potom upitao:
- Imam jednostavno pitanje za sve: da li želite da izložite pluća ovakvom riziku i vidite da li ona mogu da podnesu to? A ako izdrže, kao što verovatno hoće kada je reč o mladim ljudima, da li zaita želite da vidite koliko godina ili snage ste izgubili?
Na kraju posta, doktor je apelovao na sve da se vakcinišu, jer će tako sačuvati svoja pluća.
Komentare objavljujemo prema vremenu njihovog pristizanja. Prednost u objavljivanju komentara imaće
registrovani korisnici. Molimo Vas da ne pišete komentare velikim slovima, kao i da vodite računa o pravopisu.
Redakcija Informer.rs zadržava pravo izbora, brisanja komentara, ili modifikacije komentara koji će biti objavljeni.
Prema Zakonu o informisanju zabranjeno je objavljivanje svih sadržaja koji podstiču diskriminaciju, mržnju ili
nasilje protiv lica ili grupe lica zbog njihovog pripadanja ili nepripadanja određenoj rasi, veri, naciji,
etničkoj grupi, polu ili zbog njihovog seksualnog opredeljenja.
Nećemo objavljivati komentare koji sadrže govor mržnje, psovke i uvrede. Sadržaj objavljenih komentara ne
predstavlja stavove redakcije Informera ili portala Informer.rs, već isključivo stavove autora komentara.
Sugestije ili primedbe možete da šaljete na redakcija@informer.rs.
Ruski neurofiziolog Sergej Nurislamov najavio je pogoršanje simptoma infekcije kovidom-19. On predviđa da će Rusi koji ne prime vakcinu u sledećem talasu koronavirusa teže obolevati i brže umirati
Protesti se nastavljaju u Iranu - hiljade ljudi demonstriralo je u Teheranu tokom noći i jutra. Protestanti su uzvikivali: "Smrt (ajatolahu Aliju) Hamneiju" i "Živeo šah". Sve događaje u Iranu pratite uživo na Informer.rs.
Moćna poruka odjeknula je iz Ruske Federacije nakon što je čitava Evropa podigla glas zbog najava američkog predsednika Donalda Trampa da će učiniti sve što je u njegovoj moći da Grenland padne u ruke Sjedinjenih Država.
Srbija se nalazi na prekretnici između toga da li će nastaviti da ide napred i gleda u budućnost ili ćemo se vratiti u vreme blokaderske odnosno žute vlasti sa kojom bi naša država doživela potpunu raspad.
Ustaše u hrvatskom Saboru pokrenule su ''verski rat'' protiv Srbije sa ciljem da zabrane Srpsku pravoslavnu crkvu (SPC), a zalažu se za i za otimanje manastira, crkava i drugog nasleđa i imovine SPC i davanje u vlasništvo takozvanoj hrvatskoj pravoslavnoj crkvi.
Učesnici Exatlona, najvećeg sportskog rijalitija na svetu, iznenadili su publiku neobičnim prizorom. Nakon iscrpljujućih borbi na zahtevnim poligonima, odlučili su da prljave patike operu u bazenu.
Najveći sportski rijaliti program na svetu Exatlon uskoro će napustiti jedan muški takmičar, a najveće su šanse da to bude neko od momaka iz Crvenog tima.
Večerašnja četvrta epizoda najvećeg sportskog rijalitija donela je žestoku borbu, a kako se čini i prve ljubavne varnice i nežnosti između Milice Balać i Aleksandra Miljevića.
Televizija Informer večeras emituje specijalni program posvećen najnovijim dešavanjima u Loznici, sa fokusom na strašnu i do sada neviđenu zloupotrebu elementarne nepogode u političke svrhe.
Proteklih sedmica u Informerovoj hit emisiji “Na merama” otkrili smo vam, između ostalog, kako penzionerske dane provode nekadašnji državni zvaničnici Vuk Drašković i Vojislav Koštunica, šta rade lažni revolucionari Miša Bačulov i Aleksandar Jovanović Ćuta kad misle da nema kamera, sa kime nazdravlja predsednica Narodne skupštine Ana Brnabić, kako izgleda “sladak život” glumca blokadera Miloša Timotijevića…
Istoričar Aleksandar Raković gostujući u Info jutru komentarisao je napade na predsednika Srbije Aleksandra Vučića i napravio paralelu između smene vlasti u Crnoj Gori i pokušajima smene u našoj državi.
Muškarac star 82 godine, koji je danima bio bez hrane, adekvatne terapije i ogreva u zabačenom delu sela Jasikovo, zbrinut je zahvaljujući blagovremenoj reakciji policijskih službenika.
Er Srbija danas obeležava godinu dana od uspostavljanja direktne avio-linije između Beograda i Šangaja, jednog od najznačajnijih poslovnih, finansijskih i kulturnih centara u Kini i svetu.
Muškarac M.V. (38) uhapšen je i određeno mu je zadržavanje zbog sumnje da je taksistima u Zemunu stavljao nož pod grlo i pretio im da će ih zaklati ako mu ne budu dali novac.
U intervjuu za "Politiku", glavni javni tužilac Višeg javnog tužilaštva (VJT) u Beogradu Nenad Stefanović govorio o načinu rukovođenja javnim tužilaštvom o prevaziđenim i predstojećim izazovima za tu instituciju.
Glumica Olivera Viktorović (62) priznala je da je nudista i otkrila je da je to postala sasvim slučajno zbog zdravstvenih problema koje je imala sa jajnicima.
Pevačice Sabrina Salerno, Samanta Foks i Kim Vajld su osamdesetih godina važile za najveće seks bombe u svetu, a veliku popularnost imale su i u Srbiji.
Serija "Igra prestola" ("Game of Thrones") dobiće više nastavaka. Džordž R.R. Martin, po čijim knjigama je serija nastala, potvrdio je da HBO radi na novim projektima među kojima je i pomenuta hit serija.
Korisnica TikToka, Mel, odlučila je da sa svojim pratiocima podeli, kako ona kaže, izuzetno koristan trik za sigurnije hodanje po zaleđenim površinama.
Bob frizura već godinama ostaje klasik koji nikada ne izlazi iz mode - svež i moderan. Influenserke su najavile da će se taj trend nastaviti i u 2026. godini.
Pevačica Katarina Živković prošla je kroz pravu agoniju tokom dojenja sina Stefana, kada su joj rekli da će ga otrovati kremom koju je mazala na grudi.
Katarina Grujić važi za najomiljeniju pevačicu u bratskoj Makedoniji! Iako brojni domaći izvođači rado nastupaju u ovoj zemlji, Kaća ima ubedljivo najviše zakazanih svirki, i to mesecima unapred.
Imate mišljenje?
Ukoliko želite da ostavite komentar, kliknite na dugme.
Ostavite komentar